Le principal champ d’activité de recherche de l’équipe concerne la biologie de la circulation pulmonaire avec une attention particulière portée à l’hypertension pulmonaire chez l’adulte et l’enfant. Elle possède une expertise reconnue sur les canaux ioniques, la signalisation calcique, la réactivité vasculaire, le remodelage, l’inflammation, l’exposition aux particules de pollution et les voies de signalisations associées.
Présentation
L’objectif principal de l’équipe est l’étude de la physiopathologie de la circulation pulmonaire chez l’adulte et l’enfant et l’impact des facteurs environnementaux. Nos études se concentrent notamment sur l’hypertension pulmonaire (HTP) qui peut être associée à la bronchopneumopathie chronique obstructive (BPCO) chez l’adulte ou à la dysplasie bronchopulmonaire (DBP) chez le nouveau-né grand prématuré avec des conséquences pulmonaires et cardiovasculaires à l’âge adulte. L’HTP est une maladie grave caractérisée par un remodelage artériel pulmonaire conduisant à l’hypertrophie ventriculaire droite, l’insuffisance cardiaque droite et la mort des patients. L’HTP est également associée à une hyperréactivité artérielle pulmonaire, une inflammation et un stress oxydant. Du fait de la non spécificité de ses symptômes, le diagnostic d’HTP est souvent posé tardivement. Malgré des efforts de recherche importants, la pathogenèse de l’HTP reste encore insuffisamment connue et les traitements curatifs font défaut. En s’intéressant à la physiopathologie artérielle pulmonaire à l’aide de modèles murins et humains d’HTP, l’équipe travaille sur une réelle interface entre les maladies cardiaques et pulmonaires.
L’équipe mène une recherche translationnelle avec la participation de médecins et de centres d’investigations cliniques (CIC de pneumologie et de pédiatrie) dans le but d’identifier de nouvelles thérapeutiques curatives et préventives de l’HTP. Il s’agit d’une équipe multidisciplinaire constituée de collaborateurs provenant de différentes formations (scientifiques dont des enseignants-chercheurs et chercheurs, médecins dont des pneumologues et pédiatres, pharmaciens dont des pharmacologues, physiologistes et toxicologues).
Nos activités de recherche se divisent en deux axes principaux et deux axes transversaux et collaboratifs au sein de l’unité.
- Axe 1 : Etude de la physiopathologie de l’HTP associée à la BPCO chez l’adulte
- Axe 2 : Etude de la physiopathologie de l’HTP associée à la dysplasie bronchopulmonaire chez le nouveau-né grand prématuré et ses conséquences à l’âge adulte.
Axes transversaux :
- 3 – Etude de l’impact des facteurs environnementaux dans l’HTP (en collaboration avec l’équipe 2 de l’unité)
- 4 – Etude du remodelage ventriculaire droit dans l’HTP (en collaboration avec l’équipe 3 de l’unité)




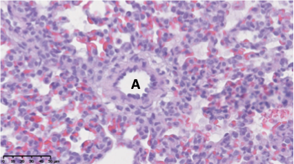
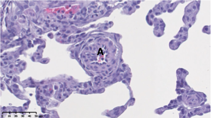
Figure 3 : Coupe de poumon de raton en conditions normoxiques (gauche) et en conditions hyperoxiques (14 jours d’hyperoxie O2 90% – droite). En conditions hyperoxiques, on observe la DBP caractérisée par le remodelage de l’artère pulmonaire (épaississement de la paroi) et du poumon (hypoalvéolisation). A, représente une artère pulmonaire.